At Orlando Family & Cosmetic Dentistry, our Smile Makeover services address a range of dental issues, including stained, chipped, misaligned, or missing teeth. Led by Dr. Sanjay Ghetiya, our personalized treatments combine advanced cosmetic procedures to transform your smile, enhancing both appearance and confidence for a radiant, lasting impression.
What Is A Smile Makeover?
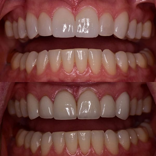
A Smile Makeover in Orlando is a comprehensive approach to enhancing the appearance of your smile through a combination of cosmetic dental procedures. Tailored to individual needs, it addresses various aesthetic concerns, such as discoloration, gaps, misalignment, chipped or missing teeth, and overall aesthetics. The process begins with a detailed consultation with Dr. Ghetiya, who designs a personalized treatment plan and identifies the most appropriate procedures for you, which may include teeth whitening, porcelain veneers, dental crowns, bridges, and orthodontics. The goal is to help you achieve a harmonious and attractive smile.
What are the procedures commonly included in a Smile Makeover?
A Smile Makeover at Orlando Family & Cosmetic Dentistry is a customized treatment plan designed to enhance the appearance and function of your smile. Dr. Sanjay Ghetiya carefully selects a combination of cosmetic dental procedures to address your unique dental concerns and achieve the best possible results.
Teeth whitening
Teeth whitening is a popular and straightforward procedure that effectively removes stains and discoloration from the teeth. At Orlando Family & Cosmetic Dentistry, professional teeth whitening can be performed in-office or through take-home kits as part of a smile makeover in Orlando. In-office whitening uses a powerful bleaching agent activated by a special light, delivering immediate results in just one visit. Take-home kits allow you to whiten your teeth gradually over a few weeks.
Porcelain veneers
Porcelain veneers are thin, custom-made shells that cover the front surface of your teeth. They are ideal for correcting a range of cosmetic issues, such as chips, cracks, gaps, and severe discoloration. The process involves removing a small amount of enamel from the tooth’s surface to ensure a proper fit. Then, an impression of your teeth is taken. Once ready, the veneers are bonded to your teeth, resulting in a natural-looking, long-lasting enhancement.
Dental crowns
Dental crowns are restorative caps that encase the entire tooth, commonly used for teeth that are severely decayed, damaged, or weakened. The procedure begins with preparing the affected tooth by removing any decay and reshaping it to accommodate the crown. An impression is then taken to create a custom crown that matches the shape, size, and color of your natural teeth. Once fabricated, the crown is cemented onto the prepared tooth.
Orthodontics
Orthodontic treatments, such as clear aligners, address misaligned or crooked teeth. Clear aligners, like Invisalign, are a popular alternative to traditional braces and are often used in a smile makeover in Orlando. They consist of a series of custom-made, nearly invisible trays that gradually move your teeth into the desired position. The aligners are worn for about 20-22 hours a day and are replaced every one to two weeks as your teeth shift. This treatment is highly effective for correcting crowding, spacing, and bite issues, providing a straighter smile without metal braces.
Dental implants and bridges
Dental implants and bridges are solutions for replacing missing teeth. Dental implants involve surgically placing a post into the jawbone, which acts as a root for the artificial tooth. Once the implant integrates with the bone, a custom crown is attached to the post, providing a natural-looking and stable replacement.
Bridges, on the other hand, involve creating a prosthetic tooth (or teeth) anchored by crowns on the adjacent natural teeth or implants.
Who Is a Good Candidate for a Smile Makeover?
A smile makeover in Orlando is ideal for patients looking to address multiple aesthetic concerns through a single, cohesive plan. You may be a candidate if you want to:
- Brighten teeth with deep staining or persistent discoloration
- Repair chipped, cracked, or unevenly worn teeth
- Close gaps and correct minor tooth misalignment
- Replace missing teeth or old, failing dental restorations
- Improve the shape and length of misshapen teeth
- Address functional bite issues along with cosmetic goals
Smile Makeover FAQs
How long does a Smile Makeover take to complete?
The timeline for a Smile Makeover depends on the combination of treatments included in your plan. Some patients complete their makeover in just a few weeks if it involves procedures like whitening and veneers, while others may require several months if orthodontics or implants are involved. After your consultation, Dr. Ghetiya will outline a clear treatment schedule so you know what to expect.
Is a Smile Makeover only cosmetic, or can it improve function too?
While a Smile Makeover in Orlando focuses on enhancing appearance, it can also improve bite alignment, chewing efficiency, and overall oral function. Correcting worn, damaged, or misaligned teeth often provides both aesthetic and functional benefits, contributing to long-term oral health.
Am I a candidate if I have gum disease or other dental issues?
Before beginning cosmetic treatment, any underlying dental concerns such as gum disease or untreated decay must be addressed. A comprehensive evaluation will determine whether preparatory treatment is needed to ensure a healthy foundation for long-lasting results.
Will my Smile Makeover look natural?
Yes. Every Smile Makeover is customized to complement your facial features, skin tone, and natural tooth shape. The goal is not to create an artificial look, but to enhance your smile in a way that appears balanced, harmonious, and authentic.
How long do Smile Makeover results last?
The longevity of your results depends on the procedures included and how well you maintain your oral health. Veneers and crowns can last many years with proper care, while whitening may require occasional touch-ups. Regular dental visits and good at-home hygiene help preserve your results.
Schedule your smile makeover consultation
Orlando Family & Cosmetic Dentistry is dedicated to providing exceptional dental care with a focus on forging lasting patient relationships and ensuring a comfortable, painless experience. Led by Dr. Sanjay Ghetiya, who stays abreast of the latest dental advancements and customizes care to meet each patient’s unique needs, our practice aims to make your dental visits pleasant and stress-free. If you’re ready to transform your smile, schedule a consultation with Dr. Ghetiya today to discuss your options for a smile makeover in Orlando.





