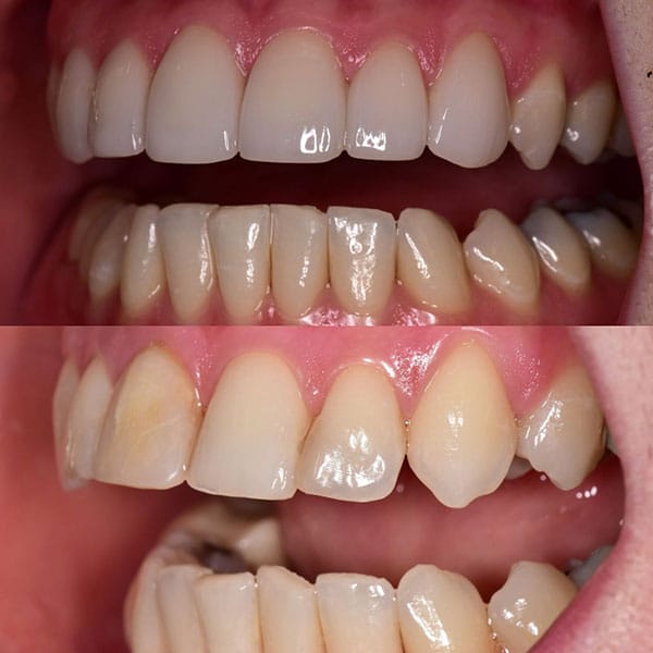
Patient was unhappy with his existing implant crowns and overall color and smile. Pt underwent in office whitening, 2 new porcelain implant crowns and 6 new porcelain veneers on his upper front teeth.
Patient broke an existing veneer during an accident. We replaced the broken veneer and matched it to her existing veneer work to restore her beautiful smile
Patient had older existing top veneers on her front 6 teeth that were showing her teeth at the gum margin and also dull in color. Pt underwent in office whitening and porleain veneers on her top front 8 teeth.
Patient was unhappy with wear on the tips of his teeth, and overall color and appearance of his teeth. Pt underwent in office whitening, and porcelain veneers on his top front 8 teeth.
Patient was unhappy with the symmetry, color, size and shape of her teeth. Pt underwent in office whitening and porcelain veneers on her top front 8 teeth.
Patient was unhappy with her existing four crowns with exposed tooth underneath and her 2 metal fillings on her canine teeth which showed a dark stain through the enamel. We placed 6 new cosmetic porcelain crowns.
Patient was unhappy with his alignment and severely ground down teeth. Pt underwent braces, in office whitening and 8 cosmetic crowns on his upper front teeth.
Patient was unhappy with her spacing and shapes of her teeth. She wanted cosmetic treatment that would match to her existing teeth but improve her overall smile. We provided her with six cosmetic crowns
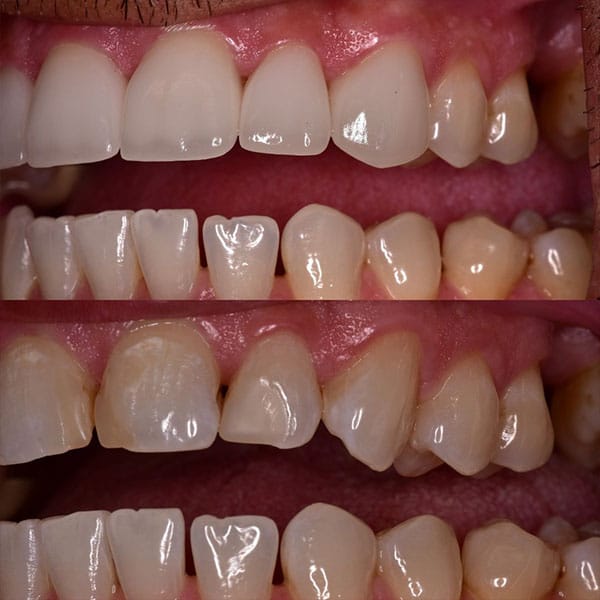
Patient was unhappy with the symmetry, color, size and shape of his teeth. Patient underwent in office whitening and porcelain veneers on his top front 6 teeth.
Patient has older composite bonding over her top front 6 teeth that were dark in color, showing stains, and imperfections. Pt underwent in office whitening and porcelain veneers on her top front 6 teeth.







































