At Orlando Family & Cosmetic Dentistry, we offer porcelain veneers to treat stained, cracked, chipped, or crooked front teeth. These thin, hard shells provide a durable, aesthetically pleasing solution, enhancing your smile with a natural look. Our expert team ensures precise fitting and exceptional results for a confident, beautiful smile.
What are Porcelain Veneers?
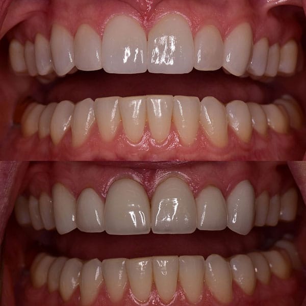
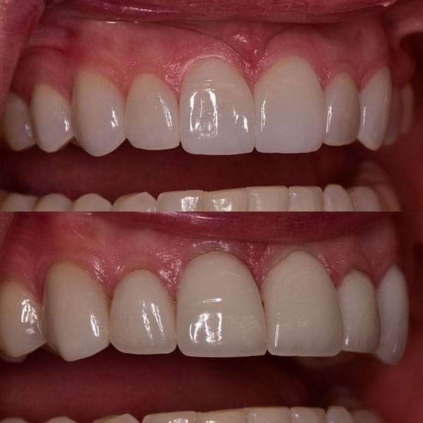
Dental veneers in Orlando are most often applied over the front-most teeth to correct stained, cracked, chipped, or crooked teeth. Smaller, more localized problems may be treatable using dental bonding procedures. Veneers are made of either porcelain or composite resins. Composite resins are applied directly to the teeth and then shaped appropriately. Porcelain veneers are thin, hard shells that must be constructed in a lab before being bonded over the teeth.
Composite veneers are typically less expensive than their porcelain counterparts, but they have a slightly shorter life span. Composite resin restorations last between five and seven years, whereas porcelain veneers typically last well over 15 years. Unlike bonding procedures used for small problems, most veneers require a tooth reduction prior to placement. This means that the thickness of your teeth must be slightly reduced to provide enough room for the veneer.
Reasons to get porcelain veneers:
- Cover discoloration and achieve a brighter, whiter smile
- Restore the appearance and functionality of chipped or cracked teeth
- Improve the alignment of mildly misaligned teeth without orthodontics
- Close small gaps and create a more uniform smile
- Protect and enhance the appearance of teeth worn down by grinding
- Correct the shape and size of uneven or irregular teeth
- Achieve significant cosmetic improvements with minimal tooth reduction
- Enhance your smile and improve your self-esteem with a beautiful, natural look
Schedule a consultation to learn more about porcelain veneers in Orlando.
Why are porcelain veneers superior?
Porcelain veneers are superior due to their exceptional durability and natural appearance. They resist stains better than composite veneers, which ensures a long-lasting, bright smile. Their translucent quality mimics the properties of natural tooth enamel, which ensures a more lifelike and aesthetically pleasing outcome. Additionally, porcelain veneers can last over 15 years with proper care, making them a worthwhile investment. Their strength and resilience also mean they can withstand daily wear and tear, making them more durable than composite veneers.
Benefits of porcelain veneers:
- Mimics the translucency and color of natural teeth
- Resistant to stains from coffee, tea, and smoking
- Lasts over 15 years with proper care
- Strong and resilient, withstands daily wear and tear
- Requires only a small reduction of the natural tooth
- Provides a significant cosmetic improvement in a short time
- Tailored to fit your teeth perfectly for a seamless look
- Addresses a range of dental issues such as stains, chips, and minor misalignments
How long do porcelain veneers last?
With proper care, porcelain veneers in Orlando can last over 15 years. Their durability depends on maintaining good oral hygiene practices, such as regular brushing and flossing, and avoiding habits that could damage them, like biting on hard objects. Regular dental check-ups and teeth cleanings also help ensure the longevity of your veneers.
What happens during the veneer procedure in Orlando?
Porcelain veneers
To begin fitting you with veneers, the enamel of the teeth may need to be slightly reduced using a buffing method. The teeth are very minimally reduced, usually between 0.5mm and 1.0mm. An impression of the area is taken, which will be sent to a dental laboratory to construct the veneers. You will be fitted with temporary veneers until your final restoration is completed.
Next, Dr. Ghetiya will check the completed veneers for proper color matching and fit. During the final placement of the veneers, a substance will first be applied to the teeth to strengthen the bond between the cement and the tooth. Next, the final dental veneers in Orlando are bonded to the teeth using a strong adhesive. This bond is solidified by treating the area with a laser or strong light.
Composite veneers
Composite veneers can be applied during a single office visit. After careful discussion of desired results and options for treatment, Dr. Ghetiya will help you choose the correct color for your veneer. Next, the resin will be directly applied to your teeth and carefully sculpted into the desired shape. The area is then treated to solidify the bond between the tooth and the veneer
Are porcelain veneers permanent?
The placement of porcelain veneers is considered a permanent procedure because it involves removing a small amount of enamel from the teeth. This enamel reduction is necessary to create space for the veneers and ensure a natural fit. Once the enamel is removed, it cannot be restored, making the veneer placement irreversible.
Do porcelain veneers look natural?
Yes, porcelain veneers in Orlando look very natural. They are custom-made to match the color, shape, and size of your existing teeth. The ceramic material used in veneers has a translucent quality that mimics the natural enamel of teeth, providing a realistic and natural-looking appearance.
Can porcelain veneers stain?
Porcelain veneers are highly resistant to staining. Unlike natural teeth, which can absorb pigments from food and drinks, the surface of porcelain veneers is less porous, making them less likely to stain. However, maintaining good oral hygiene and avoiding stain-causing substances can help keep your veneers looking their best.
Can I get cavities with porcelain veneers?
While the veneers themselves cannot get cavities, the underlying natural teeth are still susceptible to decay. It’s essential to maintain good oral hygiene to prevent cavities and other dental issues. Regular brushing, flossing, and dental visits will help protect your teeth and veneers from potential problems.
Determining Your Candidacy & What Is Right For You
Porcelain veneers are a popular cosmetic solution for individuals looking to enhance their smile with natural-looking results. These thin ceramic shells are ideal for masking imperfections like discoloration, chips, and minor misalignment. However, not everyone is an ideal candidate. The health of your teeth, your cosmetic goals, age, and lifestyle habits all play a role in determining if veneers are the right choice. You may be a good candidate for porcelain veneers in Orlando if:
- You have healthy teeth and gums, free from active decay or periodontal disease
- Your cosmetic concerns are primarily aesthetic, such as chips, stains, or minor misalignment
- You’re not prone to grinding or clenching your teeth (or wear a nightguard if you do)
- Your teeth have sufficient enamel to allow for minimal reduction during placement
- You do not have large fillings or severely weakened teeth that may require crowns instead
- You’re comfortable with a permanent change to your natural teeth
- You want to avoid orthodontics but still improve the symmetry of your smile
Ultimately, the best way to determine your candidacy for porcelain veneers is through a personalized consultation at Orlando Family & Cosmetic Dentistry. Dr. Ghetiya will thoroughly examine your oral health, discuss your goals, and recommend a treatment plan tailored to you, whether that involves veneers, bonding, implants, or a comprehensive smile makeover.
Veneers vs. other cosmetic and restorative options
In some cases, dental veneers in Orlando may not be the most suitable treatment. For example, if you are missing one or more teeth, dental implants or bridges may be more suitable for restoring both function and appearance. If you are seeking full-mouth rejuvenation, a smile makeover, which may include veneers, whitening, bonding, or crowns, might offer the best results.
Budget and longevity are also important considerations. While composite bonding is more affordable upfront, porcelain veneers offer longer-lasting results. Implants, though more expensive, are ideal for permanent tooth replacement. Dr. Ghetiya will carefully evaluate your dental health, lifestyle, goals, and budget to help determine whether porcelain veneers (or an alternative) is the best fit for you.
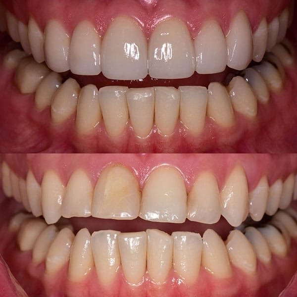
Veneers Patient Testimonial
Edwin's Veneer Journey
Patient Testimonials
Take a look at some of the glowing feedback we’ve received from some of our happiest patients.
“Very comfortable and understanding environment. I got some extensive domestic work done on my upper teeth and I couldn’t be happier with results. Dr. Sanjay is a great guy and even better dentist. Would definitely recommend.”
-LOVESON SZN
“Can’t say enough good things about Dr. Ghetiya, Marissa, and the whole staff here. I had some negative experiences at two other practices in the area who were trying to upsell me using fear tactics. Came here and they explained my dental health and treatment plans in a kind and comprehensive manner, and made sure I understood. Definitely felt like they are interested in your whole health and not just money. My teeth look and feel great. Very organized scheduling & billing as well. Thank you all!”
– Jordan Treadaway
“I have been seeing Dr. Ghetiya and his team for two years now and they are excellent. They are very professional. I got cosmetic work done in my front teeth and I couldn’t be happier. I recommend Orlando Family & Cosmetic Dentistry 100%.”
– Nairoby Hernandez
“I had such a good experience visiting, the office staff was so kind and dr. Ghetiya was very attentive and addressed all my concerns about my smile :)”
– Lee Chandler
Dental Veneers FAQs
How many veneers do most patients typically need?
The number of dental veneers in Orlando you may need depends on your cosmetic goals, the condition of your teeth, and how much of your smile shows when you talk or smile.
Many patients choose to treat the front six to eight upper teeth, as these are the most visible when smiling. However, some people only need one or two veneers to correct a chipped or discolored tooth, while others may also opt for additional veneers on the lower front teeth for improved symmetry. During your consultation, your dentist will evaluate your smile and help determine the ideal number of veneers to achieve balanced, natural-looking results.
Can porcelain veneers be matched to my existing teeth?
Yes. Porcelain veneers can be matched to the color, shape, and translucency of your teeth. If you’re happy with your current tooth shade, veneers can be crafted to blend seamlessly with your natural enamel. If you’re interested in a brighter smile, your dentist may recommend whitening your natural teeth first so your veneers can be matched to a lighter shade.
Will porcelain veneers affect my speech at first?
It’s normal to notice minor speech changes immediately after porcelain veneers in Orlando are placed, particularly with sounds like “s” or “f.” This happens because your tongue and lips are adjusting to the new contours of your teeth. Most patients adapt within a few days as their mouth gets accustomed to the veneers. Practicing reading aloud or speaking more frequently can help speed up this adjustment period. Any lingering concerns should be discussed with your dentist.
Can veneers be repaired if they chip or crack?
In some cases, small chips in porcelain veneers may be repaired using composite resin. However, if the damage is significant, the veneer may need to be replaced to maintain strength and appearance. Porcelain veneers are designed to be durable, but avoiding habits such as chewing ice, biting nails, or using your teeth as tools can help reduce the risk of damage. Wearing a nightguard is also recommended for patients who grind or clench their teeth.
Do porcelain veneers require special care or products?
Porcelain veneers do not require special products, but they do need the same consistent care as natural teeth. Brush twice daily with a non-abrasive toothpaste, floss once a day, and visit your dentist regularly for cleanings and exams. With proper care, porcelain veneers can remain beautiful and functional for a decade or more.
Why Choose Us for Dental Veneers in Orlando?
Orlando Family & Cosmetic Dentistry is dedicated to providing top-notch dental care. Led by Dr. Sanjay Ghetiya, our highly skilled and compassionate dentist with extensive experience in cosmetic dentistry, we focus on creating lasting patient relationships and ensuring that everyone has a comfortable, painless experience. Dr. Ghetiya actively listens to his patients, understands their needs, and curates personalized treatment plans to ensure optimal results. Schedule your consultation today to explore your options for dental veneers in Orlando and enhance your natural smile.








